DNA Methylation Status of the RETN and ADIPOQ Genes in Sporadic Colon Cancer
Article Information
Rowyda N Al-Harithy*, Eman A Al Abdulsalam
Department of Biochemistry, College of Science, King Abdulaziz University, Jeddah, Saudi Arabia
*Corresponding Author: Rowyda N Al-Harithy, Department of Biochemistry, College of Science, King Abdulaziz University, Jeddah, Saudi Arabia.
Received: 24 May 2024; Accepted: 05 June 2024; Published: 26 June 2024
Citation: Rowyda N Al-Harithy, Eman A Al Abdulsalam. DNA Methylation Status of the RETN and ADIPOQ Genes in Sporadic Colon Cancer. Archives of Clinical and Biomedical Research. 8 (2024): 265-272.
View / Download Pdf Share at FacebookAbstract
Background: Colon cancer develops through a complex process that involves epigenetic alterations. Compelling evidence has been achieved that adipocytokines link obesity with colon cancer progression. Therefore, understanding the epigenetic modifications in adipokine genes might help clarify their role in colon cancer pathogenesis. The present project aimed to study the DNA methylation status of the RETN and ADIPOQ genes in sporadic colon cancer patients.
Methods: 70 cancerous colon tissues and adjacent paired non-cancerous tissues were used to determine the DNA methylation status using a methylation-specific polymerase chain reaction (MS-PCR) assay. Quantitative real-time PCR (qRT-PCR) was used to determine the expression level of the RETN and ADIPOQ genes.
Results: In colon cancer tissues, the CpG sites in the three selected promoter regions of ADIPOQ and RETN genes were hypermethylated in all samples. The DNA methylation level at the CpG sites in exon one of the RETN gene exhibited a lower level in the non-cancerous tissue compared to the cancerous tissue and paired blood samples. The RETN mRNA was upregulated.
Conclusion: Our study indicates that hypermethylation at the CpG sites in the two regions of the ADIPOQ promoter and in exon one of the RETN genes might help uncover cancer signatures in sporadic colon cancer and may be used as a biomarker.
Keywords
DNA methylation; Exon one of RETN gene; ADIPOQ gene; RETN mRNA; Sporadic Colon Cancer
DNA methylation articles; Exon one of RETN gene articles; ADIPOQ gene articles; RETN mRNA articles; Sporadic Colon Cancer articles
Article Details
Introduction
Colon cancer is a hyperplasia of the large intestine and one of the most common causes of cancer-related death in the world [1]. Colon carcinogenesis is a slow and stepwise process that can take years to develop [2,3]. Colon cancer initiation exhibits additional gene mutations, oncogene activation, loss and gain of chromosomes, microsatellite instability, and the CpG island methylator phenotype (CIMP) [3]. As reported previously in the literature, 20% of patients diagnosed with colon cancer have familial or congenital mutations in genes that accelerate carcinogenesis to an early age. The remaining 80% tend to develop colon cancer later in life and do not exhibit any obvious genetic causes [1]. Therefore, lifestyle factors that might modify epigenetic patterns, including obesity, have been linked to colon cancer development [3]. Many research studies have examined the association between obesity and colon cancer [4–6]. The literature suggested that an increased body mass index correlates with colon cancer development [7]. Therefore, adipocytokines such as resistin (RETN) and adiponectin (ADIPOQ), were measured to investigate their association with colon cancer [8–10]. The RETN, also known as a fatty tissue-specific secretory factor, is a cysteine-rich peptide secreted by adipocytes, immune cells, and epithelial cells, that, in humans, is encoded by the RETN gene [11,12]. The RETN gene is located on chromosome 19p13.2 with four exons and three introns, considering exon one as the untranslated region [13]. The RETN protein covered 90 amino acids and 18 amino acids as a signal sequence. RETN is in two diverse biological active forms: an oligomer and a trimer [14]. Although RETN is a small adipokine, it activates cell proliferation, survival, and anti-apoptosis [15]. RETN is also involved in cell inflammation, which causes cell adhesion and migration that promote tumorigenesis [14]. The second gene, ADIPOQ, is located on chromosome 3q27 and comprises three exons and two introns, where exons 2 and 3 are the coding regions. ADIPOQ protein is 30 kDa with 244 amino acids and is expressed exclusively in adipocytes [16]. It has been acknowledged that a low ADIPOQ level may influence colon cancer carcinogenesis [17–19]. It has been suggested that ADIPOQ may have a role in the development and progression of cancer via its pro-apoptotic and/or anti-proliferative effects. Normally, ADIPOQ protein attenuates cancer progression through adenosine monophosphate-activated protein kinase (AMPK).
Epigenetic research has shown that human cancer cells harbor epigenetic alterations [20]. Advancements in the rapidly evolving cancer epigenetic regulations that have shown changes in the epigenetic landscape are a hallmark of cancer. Therefore, disruption of epigenetic mechanisms can lead to altered gene activity and malignant cellular transformation. Significant progress has been made in understanding how epigenetic changes such as DNA methylation, histone modification, miRNA expression, and higher-order chromatin structure affect gene activity. The most extensively studied epigenetic modification of genomic DNA that controls genomic function is DNA methylation [21]. Therefore, changes in the methylation state at discrete loci are potentially associated with control of specific genes related to cancer pathogenesis [22]. DNA hypermethylation has many roles in tissue-specific transcription control. Although tissue-specific DNA hypermethylation occurs more frequently in actively transcribed gene bodies and intragenic or intergenic enhancers, promoter hypermethylation influences gene expression, most notably in promoter regions rich in CpGs [23]. Abnormal increases in methylation at specific DNA sequences can serve as biomarkers for diseases [24]. Previous studies have examined RETN DNA methylation [25,26]. But to date, none has focused on the effect of RETN gene DNA methylation on sporadic colon cancer. Understanding the epigenetic role in RETN may serve as a prognostic, diagnostic marker, and the reversibility of the changes makes it possible to treat sporadic colon cancer disease. Therefore, the present study aimed to study the DNA methylation status of RETN and ADIPOQ genes in sporadic colon cancer patients.
Materials And Methods
Bioinformatics analysis
The presence of promoter CpG islands in the RETN sequence region ranging from 500 bp upstream to 500 bp downstream of the transcription start site was evaluated using the online CpG Island Searcher software (http://dbcat.cgm.ntu.edu.tw/) with default settings. For the MS-PCR primer design, the bioinformatics link was used as a DNA bisulfite conversion tool (https://www.zymoresearch.com/pages/bisulfite-primer-seeker). Then, the design of MS-PCR primers was followed as described by Herman and his team [27]. For the ADIPOQ gene, two sets of primers were chosen from the literature [27–29].
Subjects
Sporadic colon cancer Saudi females (n = 39, age = 59.46 ± 2.05 years) and males (n = 31, age = 60.10 ± 2.35 years) patients were included in the study. All participants provided written informed consent after receiving information about the purpose of the study. In some cases, first-degree relatives signed the consent form on behalf of the patients. Tissue samples were obtained from patients assigned for colectomy or endoscopy procedures at Prince Sultan Military Medical City (PSMMC; Riyadh) and King Khalid University Hospital (KKUH; Riyadh). Two samples were collected from each patient, one from cancerous tissue and one from adjacent (> 10cm) non-cancerous tissue. After surgical removal, the tissue samples from the colectomy procedure were either snap-frozen in liquid nitrogen for two minutes or saved in RNA solution (Invitrogen by Thermo Fisher Scientific (USA) and stored at -80°C. The volunteer’s exclusion criteria required individuals to have hereditary colon cancer, treated with either chemotherapy or radiotherapy. The Institutional Review Board approved the study at Prince Sultan Military Medical City (PSMMC), Oncology Department (project no. 995 ref no. #HAP-01-R-015; approval date: 10 October; 2017; Riyadh; Saudi Arabia; and King Khalid University Hospital (KKUH), College of Medicine (project no. E-17-2732 ref no. 18/0068/IRB; approval date: 28 December 2017). All experiments were performed following relevant guidelines and regulations. The genomic DNA and the bisulfite-treated genomic DNA were extracted from peripheral blood samples (2.5 ml) using the Puregene Blood Core Kit C (Qiagen, Germany) and from tissue using the DNeasy Blood and Tissue Kit (Qiagen, Germany). DNA integrity and concentration were assessed by a NanoDrop 2000c spectrophotometer (Thermo-Scientific). DNA (up to 1µg) was then treated with sodium bisulfite using the EpiTect Fast DNA Bisulfite Kit (Qiagen, Germany) according to manufacturer protocol. CpG Methylated Human Genomic DNA Control (Thermo Scientific, USA) was used to ensure conversion efficiency.
Methylation Specific-PCR (MS-PCR)
To determine the methylation status of the two selected genes (RETN and ADIPOQ), MS-PCR was used for tissues and blood samples. To validate the primer design, fully methylated and fully unmethylated DNA controls (EpiTect Control DNA and Control DNA Set (Qiagen) were used. Also, MS-PCR primers were tested against untreated DNA with bisulfite to test the primer’s specificity. It was considered only the specific primers. The experiment was duplicated for methylated results to confirm the methylation status. Bisulfite-treated DNA templates were PCR amplified using HotStarTaq (5 units/µl) from Qiagen (Germany), dNTPs (20mM) from Thermo (USA), 10X buffer from Qiagen (Germany), 10µM each primer, and nuclease-free water up to 25µl. Amplification conditions for region and exon one at the RETN gene were: 95°C for 15 minutes; 95°C for 30 seconds, 59°C for 30 seconds, 72°C for 1 minute, for 40 cycles, and 72°C for 10 minutes. Amplification conditions for promoter regions two and three at the ADIPOQ gene were: 95°C for 15 minutes; 95°C for 10 seconds, (variable for each primer);72°C for 30 seconds;40 cycles, and 72°C for 10 minutes. The primers for the MS-PCR are shown in Table 1. All MS-PCR amplicons (10µl) were separated on 2% gel electrophoresis containing GelStarTM Gel Stain (Lonza, USA) and visualized under UV transillumination.
Table 1: List of primers for MS-PCR
RNA extraction and real-time qPCR
Total RNA was isolated from blood using the PAXGene Blood RNA Kit (Qiagen, Germany) and from tissues using the RNeasy Plus Mini Kit (Qiagen, Germany) as the manufacturer described. Total RNA concentration and purity were determined using a NanoDrop 2000c spectrophotometer (Thermo-Scientific). RETN mRNA and ADIPOQ mRNA were quantified by real-time PCR. 400 ng/µl of RNA was used to synthesize complementary DNA (cDNA) by the Reverse Transcription System (Promega, USA) using oligo-dT primers according to the manufacturer’s instructions. Then, Real-time PCR amplification reactions from 1µl of the synthesized cDNA were prepared using 10µl of 2X Taqman® Universal Master Mix (Applied Biosystems, USA), 1µl of 20X Taqman® Gene Expression Assays (Applied Biosystems, USA), and nuclease-free water to a final volume of 20 µl. Q-PCR amplification was performed in a StepOne Plus (Applied Biosystems, USA) using the default setting for the ΔΔCt method. Relative gene expression levels were calculated using the comparative Ct (ΔΔCt) method and GAPDH (Hs99999905_m1) as the internal control. The expression assays (primers), ADIPOQ (Hs00605917_m1), and RETN (Hs00220767_m1) were purchased from Applied Biosystems. All reactions were carried out in triplicate.
Statistical analysis
Data are expressed as means ± standard error of the mean. The 2×2 contingency tables were used to determine the methylation frequency of MS-PCR results using Fisher’s exact test. Comparisons between cancerous and non-cancerous tissues were made using the Wilcoxon matched-pairs signed-rank test as non-parametric data. To evaluate the correlation between blood paired with cancerous tissue, Pearson’s correlation and Spearman’s rank correlation were performed for parametric and non-parametric data; respectively. Statistical analyses were performed using GraphPad Prism version 9 (San Diego, USA). All statistical tests considered a two-tailed P-value < 0.05 to be statistically significant.
Results
Frequency of methylation
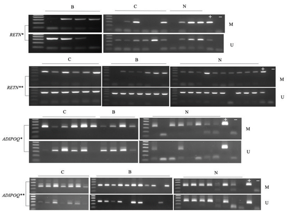
All the tissues and the paired blood samples at the CpG sites in the two promoter regions of the ADIPOQ gene showed a high frequency (92–100%) of DNA methylation in all representative samples. There was also a high level of DNA methylation at the CpG sites in the promoter region of the RETN gene. Hypermethylation was found in 85.7% of cancerous tissue, 91.1% of non-cancerous tissue, and 83.3% of paired blood samples. The region that is downstream of the transcriptional start site (TSS) in exon one of the RETN gene showed 67.1%, 51.1%, and 62.5% methylation in colon cancerous tissue, non-cancerous tissue, and paired blood samples, respectively (Figure 1). The Fisher test did not show any significant differences in the frequency of methylation between cancerous tissue paired with noncancerous tissue at the CpG sites in the region of the RETN promoter (P = 0.14) and in exon one (P = 0.83).
Figure 1: MS-PCR results of RETN and ADIPOQ genes. Bands represent the MS-PCR results using a set of primers that upper raw shows the results obtained from the (M) methylated primers, whereas lower raw presents (U) unmethylated results for the same samples for each gene targeted region. C=colon cancerous tissue, B= blood pair samples, N=non-cancerous colon tissue, (+)= positive control, and (–)=negative control. RETN*=region one, product size= 166 bp. RETN**=exon one, product size= 223 bp. ADIPOQ*=region one, product size 171 bp. ADIPOQ**=region two, product size for M=140, U=142 bp. Marker 50 bp was loaded for all the MS-PCR amplicons.
Correlation of hypermethylation between cancerous tissue and paired blood samples
A positive correlation was found between cancerous tissue paired with blood for both targeted genes (Table 2). The result suggests that blood is a useful, non-invasive sample to study both genes for the level of DNA methylation.
|
Gene |
r |
Pvalue |
|
RETN* |
0.9848 |
0.1112 |
|
RETN** |
0.8030 |
0.4065 |
|
ADIPOQ* |
0.9351 |
0.2307 |
|
ADIPOQ ** |
0.7190 |
0.4892 |
|
RETN*=region one,RETN**=exon one,ADIPOQ*=region one andADIPOQ**=region two. |
||
Table 2: Correlation of hypermethylation between cancerous tissue and paired blood samples analysis
Gene expression for ADIPOQ and RETN genes
Gene expression was examined quantitatively for ADIPOQ and RETN using the TaqMan gene expression assay. Sixty-eight tissue samples (cancerous paired non-cancerous tissues) and 21 paired blood samples were assayed. The TaqMan assay could not detect the ADIPOQ gene transcript in tissue or blood. The most striking observation to emerge from the data comparison using a paired t-test between cancerous and adjacent non-cancerous tissue revealed that RETN expression is downregulated (P = 0.154). This result may implicate DNA methylation in exon one, affecting gene activity. Interestingly, there was a significant positive correlation between cancerous tissue and paired blood (P = 0.0006). This correlation suggests that blood is a good representative sample to study the RETN gene expression in colon cancer.
Discussion
Genetic cancer cannot explain sporadic cancer or cancer development in individuals who have no family history of cancer. Nevertheless, epigenetic pathways can explain the increased risk of acquiring sporadic cancers. Thus, epigenetic markers that are persistently dysregulated in malignancies present an opportunity to use them as cancer biomarkers for diagnosis, risk assessment, and therapy response prediction. Therefore, studying aberrant DNA methylation of promoter regions on adipokine genes might help decipher the molecular mechanisms underlying the effect of obesity in sporadic colon cancer development. Our study shed light on the DNA methylation of the RETN and ADIPOQ genes and their involvement in the progression of sporadic colon cancer, which will serve as a base for future studies. To our knowledge, this study is the first to investigate the DNA methylation status at the CpG sites of the RETN and ADIPOQ genes in sporadic colon cancer tissues. The number of genes known to undergo promoter hypermethylation in cancer has increased significantly. Our study, which included cancerous tissue, adjacent non-cancerous tissue, and paired blood samples from colon cancer patients revealed hypermethylation at the CpG sites in the promoter region of the RETN gene in all samples. We also observed that the DNA methylation level at the CpG sites in exon one near the transcriptional start site (TSS) was lower in the non-cancerous tissue than in malignant and paired blood samples. The region downstream of TSS in exon one of the RETN gene showed a cancer-specific methylation pattern. This data suggests that methylation at CpG sites in exon one may contribute to the disease and could be used as a biomarker for sporadic colon cancer. Furthermore, the findings show that the methylation pattern in exon one of the RETN may be essential in understanding the molecular mechanisms underlying colon cancer development. We believe we have identified novel DNA methylation alterations related to sporadic colon cancer. We propose that DNA methylation at CpG sites in exon one of the RETN gene is a signature for colon cancer and can serve as a predictive biomarker.
Moreover, our results showed increased RETN mRNA in both tissues and blood samples. Previous research found that patients with colon cancer had greater levels of resistin than healthy controls, implying that resistin levels may be positively linked with the risk of colon cancer [30–32]. In 2002, Sadashiv and his group measured resistin in subcutaneous adipose tissue (SAT) in postmenopausal obese and non-obese women and showed that resistin expression in the serum was upregulated in postmenopausal obese women [33]. In contrast, when resistin level was evaluated in visceral adipose tissue (VAT), it was downregulated at the transcriptional level and upregulated in the serum of the postmenopausal obese group [33]. The researchers postulated that the RETN mRNA level variation in both tissues could pinpoint a posttranslational mechanism occurrence. They stated that to understand the regulation and biological relevance of resistin in humans, more research is needed. Although the role of RETN in colon cancer is far from being elucidated, several mechanisms may be involved in explaining the outcomes of the recent study. In 2017 a group of researchers reported that the plasma RETN was inversely associated with the extent of methylation at SNP − 420 in the promoter of the RETN gene [34]. They suggested that the association could have genetic and epigenetic effects on the expression of the RETN gene and the level of plasma RETN. The result was supported by another group that reported the effect of hypomethylation on the RETN gene on PCOS causing upregulation of RETN mRNA 34. Given that hypermethylation is an important factor in regulating gene expression, we suggest that the hypermethylation at the CpG sites in the promoter region of the RETN gene is not colon cancer-associated methylation. It might affect RETN expression, and hence, RETN action. While DNA methylations are considered cancer biomarkers, the studies are still a relatively new area, and the advantages of using DNA methylations as cancer markers are evident. Furthermore, the upregulation of resistin in the tissues and blood samples may be regarded as a fundamental role of DNA methylation in the gene’s regulation region. It is known that the development of CpG island hypermethylation profiles for every form of human tumors will yield valuable pilot clinical data in monitoring and treating cancer patients. Therefore, more analysis is needed to determine if DNA methylation in exon one region is truly relevant for sporadic colon cancer tumorigenesis and the increased expression of the RETN gene. The expectations are high.
Exploring DNA methylation level at the two promoter regions (proximal to the TSS) of the ADIPOQ gene revealed a hypermethylation pattern in all the representative samples. Also, the expression level of adiponectin was undetectable in all samples. Our finding agrees with previous studies. Haghiac and his team showed that obesity in pregnancy is associated with increases in DNA methylation at the ADIPOQ gene and lower mRNA concentration [28]. A year later, another group observed hypermethylation in the same promoter region, region one, that we explored and confirmed down-regulation for adiponectin level in prostate cancer tissue [29]. Understanding that; hypermethylation is an important factor in regulating gene expression, we hypothesize that the undetected ADIPOQ gene transcript in our study is due to the frequency or location of the DNA methylation in the promoter of the ADIPOQ gene. Another possible explanation is the developmental stages of cancer, it is well known that the role of adiponectin in colorectal neoplasm is a direct anti-tumorigenic effect [29]. So, a deficiency of adiponectin seems to be associated with the development of an early neoplasm, rather than advanced colon cancer. Therefore, we propose that the promoter hypermethylation observed in the present study is not sporadic colon cancer-related methylation but rather associated with the expression of the ADIPOQ gene. More analysis is needed to confirm the effect of adiponectin levels in sporadic colon cancer development. Although the sample size in this study was modest, the research design was strong since normal tissue samples near the malignant tissue were collected from the same colon cancer patients. Hence, future studies should focus on the prognostic significance of methylation patterns in sporadic colon cancer tissue, including primary tumors from early-stage colon cancer. Upcoming research into DNA methylation may aid in the early prevention of cancer. The incorporation of epigenetic markers into diagnostic and treatment-decision tests, as well as the creation of drugs aimed at enhancing patient outcomes and quality of life, would thus present a challenge for future clinical applications of colon cancer.
Conclusion
DNA methylations are effective biomarkers and prediction tools for therapeutic response and prognosis. Our findings give anadditional characterization of the methylation profile in sporadic colon cancer, which may assist uncover novel targets for improving patient outcomes. We postulate that the DNA methylation at CpG sites in exon one of the RETN gene can be assessed as a predictive biomarker to identify cancer hallmarks in colon cancer. Also, hypermethylation at CpG sites in the two areas of the ADIPOQ promoter impacts gene expression and may play a role in colon cancer carcinogenesis.
Declarations
Compliance with ethical standards.
Funding
There has been no financial support for this work.
Disclosure statement
The authors declare that they have no competing interests. Data availability statement: The data that support the findings of this study are available on request from the corresponding author. The data are not publicly available due to privacy or ethical restrictions.
Ethical approval
This study was approved by the Research Ethics Committee of Prince Sultan Military Medical City, Riyadh, Saudi Arabia, and King Khalid University Hospital (KKUH), College of Medicine, Riyadh, Saudi Arabia.
Contributorship
Rowyda N. Al-Harithy and Eman A. Al-Abdulsalam equally contributed to the design and implementation of the research. Also, the analysis of the results and the writing of the manuscript.
Acknowledgment
This work would not have been possible without the support of Dr. Sultan Al-Sedairy (Research Centre Executive Director, Riyadh). We would like to express our gratitude to Dr. Sultan who gave us the golden opportunity to work at the research center.
References
- Haggar FA, Boushey RP. Colorectal cancer epidemiology: incidence, mortality, survival, and risk factors. Clin Colon Rectal Surg 22 (2009): 191-197.
- Pitule P, Cedíková M, Treška V, et al. Assessing colorectal cancer heterogeneity: one step closer to tailored medicine. Journal of Applied Biomedicine 11 (2013): 115-129.
- Rao CV, Yamada HY. Genomic instability and colon carcinogenesis: from the perspective of genes. Front Oncol 3 (2013): 130.
- Neugut AI, Lee WC, Garbowski GC, et al. Obesity and colorectal adenomatous polyps. J Natl Cancer Inst 83 (1991): 359-361.
- Dai Z, Xu YC, Niu L. Obesity and colorectal cancer risk: a meta-analysis of cohort studies. World J Gastroenterol 13 (2007): 4199-4206.
- Bardou M, Barkun AN, Martel M. Obesity and colorectal cancer. Gut 62 (2013): 933-947.
- Murphy TK, Calle EE, Rodriguez C, et al. Body mass index and colon cancer mortality in a large prospective study. Am J Epidemiol 152 (2000): 847-854.
- Nakajima TE, Yamada Y, Hamano T, et al. Adipocytokines as new promising markers of colorectal tumors: adiponectin for colorectal adenoma, and resistin and visfatin for colorectal cancer. Cancer Sci 101 (2010): 1286-1291.
- Fazeli MS, Dashti H, Akbarzadeh S, et al. Circulating levels of novel adipocytokines in patients with colorectal cancer. Cytokine 62 (2013): 81-85.
- Riondino S, Roselli M, Palmirotta R, et al. Obesity and colorectal cancer: role of adipokines in tumor initiation and progression. World J Gastroenterol 20 (2014): 5177-5190.
- Jonas MI, Kurylowicz A, Bartoszewicz Z, et al. Adiponectin/resistin interplay in serum and in adipose tissue of obese and normal-weight individuals. Diabetol Metab Syndr 9 (2017): 95.
- Booth A, Magnuson A, Fouts J, et al. Adipose tissue, obesity and adipokines: role in cancer promotion. Horm Mol Biol Clin Investig 21 (2015): 57-74.
- Wang H, Chu WS, Hemphill C, et al. Human resistin gene: molecular scanning and evaluation of association with insulin sensitivity and type 2 diabetes in Caucasians. J Clin Endocrinol Metab 87 (2002): 2520-2524.
- Acquarone E, Monacelli F, Borghi R, et al. Resistin: A reappraisal. Mech Ageing Dev 178 (2019): 46-63.
- Yang CC, Chang SF, Chao JK, et al. Activation of AMP-activated protein kinase attenuates hepatocellular carcinoma cell adhesion stimulated by adipokine resistin. BMC Cancer 14 (2014): 112.
- Yang WS, Chuang LM. Human genetics of adiponectin in the metabolic syndrome. J Mol Med (Berl) 84 (2006): 112-121.
- Fenton JI, Birmingham JM, Hursting SD, et al. Adiponectin blocks multiple signaling cascades associated with leptin-induced cell proliferation in Apc Min/+ colon epithelial cells. Int J Cancer 122 (2008): 2437-2445.
- Gulcelik MA, Colakoglu K, Dincer H, et al. Associations between adiponectin and two different cancers: breast and colon. Asian Pac J Cancer Prev 13 (2012): 395-398.
- Inamura K, Song M, Jung S, et al. Prediagnosis Plasma Adiponectin in Relation to Colorectal Cancer Risk According to KRAS Mutation Status. J Natl Cancer Inst 108 (2015).
- Jones PA, Baylin SB. The fundamental role of epigenetic events in cancer. Nat Rev Genet 3 (2002): 415-428.
- Okugawa Y, Grady WM, Goel A. Epigenetic Alterations in Colorectal Cancer: EmergingBiomarkers. Gastroenterology 149 (2015): 1204-1225.
- Baylin SB, Jones PA. Epigenetic Determinants of Cancer. Cold Spring Harb Perspect Biol 8 (2016): a019505.
- Roadmap Epigenomics Consortium; Kundaje A, Meuleman W, Ernst J, et al. Integrative analysis of 111 reference human epigenomes. Nature 518 (2015): 317-330.
- Ehrlich M. DNA hypermethylation in disease: mechanisms and clinical relevance. Epigenetics 14 (2019): 1141-1163.
- Houshmand-Oeregaard A, Hansen NS, Hjort L, et al. Differential adipokine DNA methylation and gene expression in subcutaneous adipose tissue from adult offspring of women with diabetes in pregnancy. Clin Epigenetics 9 (2017): 37.
- Onuma H, Tabara Y, Kawamura R, et al. Dual Effects of a RETN Single Nucleotide Polymorphism (SNP) at -420 on Plasma Resistin: Genotype and DNA Methylation. J Clin Endocrinol Metab 102 (2017): 884-892.
- Herman JG, Graff JR, Myöhänen S, et al. Methylation-specific PCR: a novel PCR assay for methylation status of CpG islands. Proc Natl Acad Sci U S A 93 (1996): 9821-9826.
- Haghiac M, Basu S, Presley L, et al. Patterns of adiponectin expression in term pregnancy: impact of obesity. J Clin Endocrinol Metab 99 (2014): 3427-3434.
- Tan W, Wang L, Ma Q, et al. Adiponectin as a potential tumor suppressor inhibiting epithelial-to-mesenchymal transition but frequently silenced in prostate cancer by promoter methylation. Prostate 75(2015): 1197-1205.
- Gonullu G, Kahraman H, Bedir A, et al. Association between adiponectin, resistin, insulin resistance, and colorectal tumors. Int J Colorectal Dis 25 (2010): 205-212.
- Yang G, Fan W, Luo B, et al. Circulating Resistin Levels and Risk of Colorectal Cancer: A Meta-Analysis. Biomed Res Int 2016 (2016): 7367485.
- Farahani H, Mahmoudi T, Asadi A, et al. Insulin Resistance and Colorectal Cancer Risk: the Role of Elevated Plasma Resistin Levels. J Gastrointest Cancer 51 (2020): 478-483.
- Sadashiv, Tiwari S, Paul BN, et al. Over expression of resistin in adipose tissue of the obese induces insulin resistance. World J Diabetes 3 (2012): 135-141.
- Onuma H, Tabara Y, Kawamura R, et al. Dual Effects of a RETN Single Nucleotide Polymorphism (SNP) at -420 on Plasma Resistin: Genotype and DNA Methylation. J Clin Endocrinol Metab 102 (2017): 884-892.

